ISSN 2788-5216 RNPS 2468
SPIMED 2026;7:e217
PRESENTACIÓN DE CASO
A propósito de un caso de malformaciones arteriovenosas del lóbulo parietal izquierdo
Diagnosis of a case of arteriovenous malformations of the left parietal lobe in an adult patient
Em relação a um caso de malformações arteriovenosas do lobo parietal esquerdo
Yander Luis Izaguirre-Campillo1* https://orcid.org/0000-0001-7669-5951
Lizandra Pujol-Arias1 https://orcid.org/0000-0003-2652-6513
Rolando Dornes-Ramón2 https://orcid.org/0000-0003-4365-5237
1Universidad de Ciencias Médicas de Ciego de Ávila/ Facultad de Ciencias Médicas de Ciego de Ávila Dr. José Assef Yara/ Hospital General Provincial Docente Dr. Antonio Luaces Iraola/ Ciego de Ávila/ Cuba.
2Hamad Medical Corporation/ Hamad General Hospital/ Hospital General Provincial Docente Dr. Antonio Luaces Iraola/ Sociedad Cubana de Imagenogía/ Sociedad Latinoamericana e Iberoamericana de Imagenología Pediátrica/ Ciego de Ávila/ Cuba.
*Autor para la correspondencia: yanderizaguirrecampillo@gmail.com
RESUMEN
Introducción: las malformaciones arteriovenosas constituyen una enfermedad poco común del sistema nervioso central y que ocurren producto a una conexión fistulosa entre arterias y venas sin la intervención del lecho capilar preexistente. Se presentan en uno de cada 100 000 habitantes a nivel mundial. El objetivo del presente artículo fue describir el curso clínico de un caso de malformaciones arteriovenosas cerebrales.
Reporte del caso: se describe un caso de características variadas en el cual se diagnosticó mediante neuroimagen una malformación arteriovenosa localizada en el lóbulo parietal izquierdo de la corteza cerebral. En esta paciente se intervino lo antes posible por lo cual no llegó a desarrollar la forma de hemorragia cerebral. Finalmente se trató exitosamente con Radiocirugía Ganma Knife, con evolución de forma adecuada sin recidivas.
Conclusiones: el diagnóstico de esta afección se realiza mediante técnicas de neuroimagen en todo paciente con sintomatología sugestiva. La Radiocirugía con Ganma Knife puede ser la terapia ideal en algunos casos, no así en otros, todo dependerá de cómo sea clasificado según Speltzer y Martin.
Palabras clave: Accidente cerebrovascular; Hemorragia cerebral; Lóbulos; Malformaciones arteriovenosas; Neuroimagen; Radiocirugía.
ABSTRACT
Introduction: arteriovenous malformations are a rare disease of the central nervous system that occur as a result of a fistulous connection between arteries and veins without the intervention of the pre-existing capillary bed. They occur in one of every 100,000 inhabitants worldwide. The objective was to describe the clinical course of a case of cerebral arteriovenous malformations in adults.
Case presentation: a case with varied characteristics was presented in which an arteriovenous malformation located in the left parietal lobe of the cerebral cortex was diagnosed by means of neuroimaging. In this patient, action was taken as soon as possible, which is why she did not develop the form of cerebral hemorrhage. Finally, it was successfully treated with Ganma Knife Radiosurgery, evolving adequately without recurrence.
Conclusions: it was concluded that the diagnosis of this condition is made through neuroimaging techniques in all patients with suggestive symptoms. Ganma Knife Radiosurgery may be the ideal therapy in some cases, but not in others, everything will depend on how it is classified according to Speltzer and Martin.
Keywords: Cerebrovascular accident; Cerebral haemorrhage; Lobes; Arteriovenous malformations; Neuroimaging; Radiosurgery.
RESUMO
Introdução: As malformações arteriovenosas (MAVs) são uma doença rara do sistema nervoso central, resultante de uma conexão fistulosa entre artérias e veias sem o envolvimento do leito capilar preexistente. Ocorrem em aproximadamente uma em cada 100.000 pessoas em todo o mundo. O objetivo deste artigo foi descrever o curso clínico de um caso de malformação arteriovenosa cerebral.
Relato de Caso: Descrevemos um caso com características variadas em que uma malformação arteriovenosa localizada no lobo parietal esquerdo do córtex cerebral foi diagnosticada por neuroimagem. Esta paciente foi submetida a intervenção o mais rápido possível, prevenindo assim o desenvolvimento de hemorragia cerebral. Ela foi tratada com sucesso com radiocirurgia com Gamma Knife, com um resultado favorável e sem recorrência.
Conclusões: O diagnóstico desta condição é feito utilizando técnicas de neuroimagem em qualquer paciente com sintomas sugestivos. A radiocirurgia com Gamma Knife pode ser a terapia ideal em alguns casos, mas não em outros; tudo depende da classificação de acordo com Speltzer e Martin.
Palavras-chave: Acidente vascular cerebral; Hemorragia cerebral; Lobos cerebrais; Malformações arteriovenosas; Neuroimagem; Radiocirurgia.
Recibido: 09/08/2023
Aceptado: 05/02/2026
Publicado: 06/02/2026
INTRODUCCIÓN
Las malformaciones arteriovenosas cerebrales (MAVC) son anomalías vasculares caracterizadas por una conexión fistulosa entre arterias y venas sin la intervención del lecho capilar normalmente existente. Representan una enfermedad poco común del sistema nervioso central (SNC) de localización variable, caracterizadas por una derivación arteriovenosa, en la cual uno o varios pedículos arteriales alimentan un nido vascular, lo que crea un drenaje temprano en un canal de salida venoso. (1,2,3)
Se localizan principalmente en el territorio de las grandes arterias cerebrales (anterior, media y posterior), pero pueden ocurrir en otras zonas y recibir aferencias de varios troncos arteriales principales y de las arterias leptomeníngeas. Sus formas son diversas, la más frecuente es como una cuña con la aferencia por una o varias arterias corticales, seguidas del nido de vasos anormales y el drenaje hacia las venas superficiales y profundas. (4)
La prevalencia de las MAV en la población general es de 10 a 18/100 000 adultos. Las formas de debut pueden ser hemorrágica (58 %), convulsiva (34 %) o focal neurológica (8 %). Las hemorragias se asocian con un 5-30 % de mortalidad a nivel mundial. (5) Las MAVC constituyen el 15 % de todas las MAV, se presenta un caso nuevo por cada 10 0000 habitantes al año a nivel mundial, y son responsables del 1-8 % de los accidentes cerebrovasculares (ACV), con un ligero predominio del sexo masculino. En Estados Unidos (EE.UU) se reporta una incidencia de 1,1 por cada 10 0000 habitantes. (6) El modo de manifestación más frecuente es la hemorragia intracraneal o subaracnoidea que representa el 50 % de los casos adultos y hasta un 4 % en niños, entre un 15 % y un 20 % llega a tener consecuencias fatales.(7)
La verdadera prevalencia de las MAV en cualquier población es difícil de estimar. No existe en Cuba ningún estudio epidemiológico conocido sobre la incidencia de esta afección. Por tal motivo se decide describir un caso diagnosticado con malformaciones arteriovenosas cerebrales de localización atípica para llevar a cabo una investigación a partir de la revisión y análisis de la literatura nacional e internacional más fidedigna.
Objetivo: Describir el curso clínico de un caso de malformaciones arteriovenosas cerebrales en adultos
PRESENTACIÓN DE CASO
Motivo de consulta: "entumecimiento"
Paciente femenina de etnia caucásica, de 47 años de edad, sin antecedentes personales de salud relevantes. Como hábitos tóxicos refiere beber café en horarios matutinos. De procedencia rural, educadora de enseñanza pre-escolar, hija de madre hipertensa. Hace cinco años comenzó con episodios de parálisis transitoria del lado derecho del cuerpo, de resolución espontánea tras varias horas de duración y frecuencia, se le realizó evaluación clínica que arrojó el diagnóstico de Ataque Transitorio de Isquemia. Cinco meses después presentó vómitos precedidos de náuseas en número de cuatro al día, abundantes, de contenido bilioso, no fétidos. Durante el último año y medio comienza a sufrir crisis convulsivas generalizadas, al inicio una sola frecuencia que repitió a los tres meses, las mismas aumentaron en periodicidad hasta sufrir de una a dos al mes, para lo cual realiza tratamiento con carbamazepina 200 mg cada seis horas disminuyendo las crisis a una cada tres meses y medio aproximadamente.
Hace un mes comienza con cefalea occipital, intensa, de carácter punzante, escasamente irradiada a la zona parietal izquierda, de aparición y alivio espontáneo, acompañada de mareo e hipoestesia de la lengua. Hace tres días comienza con parálisis del hemicuerpo derecho, y entumecimiento ipsilateral rápidamente progresivo por lo que decide buscar asistencia médica. Por todo lo anteriormente planteado se decide su ingreso en el Hospital General de Hamad ubicado en la ciudad Qatarí de Doha para un mejor diagnóstico y aplicación de medidas terapéuticas.
Complementarios de laboratorio
Se realiza analítica inicial que mostró como resultado: hemoglobina: 13,7 g/dl (VR: 12-14 g/dl); hematocrito: 0,41% (VR: 0,37-0,47 %); leucocitos: 6,3x109/L(VR: 5-9x109/L); plaquetas: 452 x109/L (VR: 150-350x109/L); glicemia: 5,0 mmol/l(VR: 3,85-5,55 mmol/l); creatinina: 67 mmol/l(VR: 44,2-132,6 mol/l); eritrosedimentación: 113 mm/h (VR: <20 mm/h); albúmina: 26 g/L(VR: 32-45 g/l); colesterol: 4,1 mmol/l (VR: 3,87-6,50 mmol/l); triglicéridos: 2,34mmol/l (VR: 0,35-1,70 mmol/l) y globulinas: 20 g/l (VR: 28-35 g/l).
Complementarios de imagen
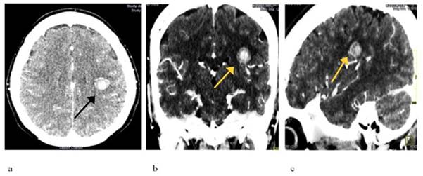
Se le realiza tomografía axial computarizada (TAC) de cráneo simple y E/V, donde se observa imagen hiperdensa, redondeada con aspecto de ovillo con densidad de 54 UH, localizada a nivel del lóbulo parietal izquierdo (Figura 1 a, b, c) y angio-TAC de cráneo donde se observa imagen hiperdensa (54 UH), redondeada con aspecto de ovillo, localizada a nivel del lóbulo parietal izquierdo en territorio de la arteria cerebral media y con drenaje a nivel del seno sagital inferior (Figura 2).

Figura 1: TAC de Cráneo Simple A (corte axial E/V), B (corte coronal E/V) , C (corte Sagital E/V). Fuente: Servicio de Imagenología del Hamad General Hospital

Figura 2: Angio-TAC de Cráneo secuencia sagital. Fuente: Servicio de Imagenología del Hamad General Hospital
Diagnóstico
Se decide realizar resonancia magnética angiográfica (RMA) donde finalmente se confirma la presencia de MAV con un volumen de 25 cm3, y existencia de angiogénesis periférica y múltiples fístulas subpiales.
Tratamiento y evolución
De acuerdo con el diagnóstico se remite al servicio de neurocirugía del Hamad General Hospital, donde se le realizó la radiocirugía. El método terapéutico empleado se lleva a cabo con éxito sin mayores complicaciones. La paciente logra mejoría de todos los síntomas por los que ingresó. En el último año la paciente ha mantenido una evolución estable sin la presencia de complicaciones asociadas.
DISCUSIÓN
Las malformaciones arteriovenosas son afecciones sumamente inusuales que pueden localizarse en cualquier parte del SNC, con una frecuencia variable, que depende de sus diversas características. Comúnmente este tipo de alteraciones se manifiesta en el sexo masculino y afecta frecuentemente al hemisferio cerebral izquierdo de los pacientes según las teorías de los investigadores Geshwind y Galaburda et al. para ello se basaron en la observación clínica y en la teoría del desarrollo de la lateralidad cerebral. (8)
Se conoce que las MAV llaman la atención por su diversidad sintomática. La forma hemorrágica resulta ser la más común con una prevalencia del 50-58 %, además de ser también la más letal entre ellas. (4, 8, 9) Pero está no es la única, además se destaca la variedad cefalálgica crónica, la convulsiva, la deficiente mental progresiva, insuficiencia cardiaca e hidrocefalia (en edades pediátricas). (4, 8)
El caso reportado discrepa en cuanto al sexo al que comúnmente afecta esta anomalía. Clínicamente se plantea que la paciente evolucionó exponiendo la forma cefalálgica crónica y la convulsiva, incluso llegó a manifestar parálisis y entumecimiento progresivo, siendo este último, el síntoma más marcado. Empero, llama la atención que afortunadamente no llegó a evidenciarse la variante hemorrágica (hecho demostrado mediante estudios radiográficos).
La mayoría de MAV no se tornan sintomáticas hasta la tercera década de vida, algunos estudios demuestran que incluso hasta un 80 % lo hacen luego de los 15 años de edad, frecuentemente en edades cercanas o superiores a los 30 años. (8) En este punto el caso analiza a una paciente de 47 años de edad, por lo que concuerda con lo que recoge la literatura internacional.
Lo anterior se puede explicar por mecanismos fisiopatológicos que plantean que a medida que el problema se desarrolla en el tiempo las arterias aferentes logran mayor dilatación, adquiriendo áreas de hiperplasia focal y ocasionalmente desarrollo de aneurismas. (8, 10)
El diagnóstico presuntivo se realizó teniendo en cuenta el factor clínico, así como el empleo de la TAC, el cual se corroboró con la realización de la panangiografía cerebral y resonancia magnética (RM), así como la angio-TAC. Una tomografía computarizada (TC) sin contraste es un estudio de baja sensibilidad a estas lesiones. A pesar de ello, este complementario puede hacer sospechar la lesión, al observarse imágenes patológicas como calcificaciones, imágenes espontáneamente hiperdensas, redondeadas, serpentiginosas o la existencia de áreas de malformaciones remanentes intraparenquimatosas con zonas de mayor densidad en su seno, justo como se evidenció en el caso. Por todo ello la TC y la RM se consideran de las técnicas de uso más común en este tipo de diagnóstico. (11)
La angiografía supraselectiva puede ser otro medio de diagnóstico de estas entidades; este complementario muestra detalles hemodinámicos y fisiológicos relevantes para la toma de decisiones. (12) En este caso no se empleó otros estudios que los mencionados debido a que en ellos se logró establecer al diagnóstico preciso sin dificultad; así como el diagnóstico diferencial con enfermedades clínicamente similares como: tumores intracraneales, hemorragias cerebrales, infecciones del sistema nervioso central o uso de neurotoxinas. Actualmente, ante la presencia de una MAV aún se utiliza la escala de Spetzler y Martin et al. publicada en 1986, independientemente de las modificaciones que se le hayan impuesto a lo largo de los años o las opiniones controversiales de algunos autores. (4, 13)
Entre las opciones terapéuticas que se toman en cuenta se encuentran en primer lugar la conducta expectante, seguida del tratamiento médico sintomático (tratamiento anticomicial por ejemplo), la resección quirúrgica, la terapia endovascular y/o la radiocirugía estereotáxica, sin dejar de mencionar la posibilidad de combinar cualquiera de estas. Por su parte existen también factores que influyen en la toma de decisiones, como: la edad, enfermedades de base, presencia o no de manifestaciones hemorrágicas, localización y extensión de la zona malformada, así como la presencia o no de aneurismas en el nido. (4) Para el tratamiento de esta paciente, después de una amplia valoración, se optó por la Radiocirugía con Ganma Knife. Mediante este procedimiento se logra remover la zona malformada de manera lentamente progresiva en el plazo de un año, sin mayores complicaciones.
A juicio final de los autores se plantea que aunque en la mayoría de los casos se manifiesta clínicamente en las cercanías de la tercera década de vida, también puede iniciar antes o después, por lo que se sugiere ampliar el rango de edad considerado para esta dolencia. Por tanto, se plantea que ante un paciente fundamentalmente masculino entre 15 y 50 años de edad que presente convulsiones, cefaleas, alteraciones sensitivo-motoras, asociados o no a hemorragias, se debe sospechar de una MAV, hecho que se debe corroborar con el uso de estudios radiológicos en especial la angiografía cerebral para clasificarla según la escala de Spetzler Martín et al. 2 y elegir una línea terapéutica adecuada y particular para cada caso.
CONCLUSIONES
La clínica constituye un factor fundamental para el diagnóstico presuntivo de las MAV. Aún así, para confirmar este diagnóstico, son necesarios los complementarios de neuroimagen, debiéndose indicar de inmediato, al considerarse estas alteraciones, un tipo de emergencia médica. Una vez diagnosticada la entidad, el neurocirujano y radiólogos intervencionistas deben escoger la terapia más adecuada para llevar a cabo en el paciente, al analizar cada caso en particular. La Radiocirugía con Ganma Knife es un buen ejemplo de las medidas terapéuticas que se pueden usar en esta afección.
REFERENCIAS
1. García Leonard JI, Sánchez Lozano A, Valladares Valle M. Hematoma intraparenquimatoso como inicio de una malformación arteriovenosa. Reporte de caso. Rev. Finlay. 2020 [citado 2022 Dic 23]; 10 (4): 445-451. Disponible en: http://scielo.sld.cu/pdf/rf/v10n4/2221-2434-rf-10-04-445.pdf&ved=2ahUKEwimzbaV6P72AhXYTTABHVKADHEQFnoECCAQAQ&usg=AOvVaw01g_lz2LASNIMZ7uI-58wh
2. Joshua Osbun W, Matthew Reynolds R, Daniel Barrow L. Malformaciones arteriovenosas: epidemiología, presentación clínica y evaluación diagnostica. En: Roberto F. Spetzler, Karam Moon, Rami O. Almefty. Manual de neurología clínica. España: Elsevier; 2017 [citado 2022 Dic 23]. 25-29. Disponible en: https://doi.org/10.1016/B978-0-444-63640-9.00003-5
3. Nicolás-Cruz CF, Mondragón-Soto MG, Aguilar Calderón JR, Melo-Guzmán G. Manejo bimodal de aneurismas asociados a malformaciones arteriovenosas cerebrales. Reporte de caso y breve revisión de la literatura. Cir. cir. 2020 [citado 2022 Dic 27] ; 88( Suppl 2 ): 79-83. Disponible en: http://www.scielo.org.mx/scielo.php?script=sci_arttext&pid=S2444-054X2020000800079&lng=es
4. García Leonard JI, Sánchez Lozano A, Valladares Valles M. Hematoma intraparenquimatoso como inicio de una malformación arteriovenosa. Reporte de un caso. Rev Finlay. 2020 [citado 2022 Dic 28]; 10(4): 445-451. Disponible en: http://scielo.sld.cu/pdf/rf/v10n4/2221-2434-rf-10-04-445.pdf&ved=2ahUKEwjBve-atYvwAhVCheAKHXMvB0sQFjABegQIBRAC&usg=AOvVaw01g_lz2LASNIMZ7uI-58wh&cshid=1618874323993
5. Goland J. Malformaciones arteriovenosas cerebrales incidentales grado 1, 2, 3 en mi consultorio. Rev Argent Neuroc. 2022 [citado 2022 Dice 30]; 36(4): 1-4. Disponible en: https://scholar.google.es/scholar?as_ylo=2019&q=malformaciones+arteriovenosas+cerebrales&hl=es&as_sdt=0,5#d=gs_qabs&t=1672843323624&u=%23p%3DH2G12RWSp8sJ
6. Guizado Infante VM, Mejía Maggi NC, Carrera Silva DM. et al. Malformación arteriovenosa cerebelosa. Caso clínico. Rev Eugenio Espejo. 2019 [citado 2022 Dic 2030]; 13(2): 71-78. Disponible en: https://doi.org/10.37135/ee.004.07.08
7. Campos Alem Cordero, Espíritu Nora, Espinoza Alberto Ramírez, Chancafe Sarah Yaipen, Bendezú Diego Medina. Características clínico-epidemiológicas y manejo de las malformaciones arteriovenosas cerebrales en el Servicio de Neurocirugía del Instituto Nacional de Salud del Niño San Borja, 2015-2017. Horiz. Med. [Internet]. 2021 Abr [citado 2023 Ene 2] ; 21( 2 ): e1332. Disponible en: http://www.scielo.org.pe/scielo.php?script=sci_arttext&pid=S1727-558X2021000200001&lng=es
8. Lòpez Flores G, Fernández Melo R, Cruz García O. Etiopatogenia y fisiopatología de las malformaciones arteriovenosas cerebrales. Arch Neurocien. 2010 [citado 2023 Ene 2]; 15(4): 252-259. Disponible en: https://www.medigraphic.com/pdfs/arcneu/ane-2010/ane104h.pdf&ved=2ahUKEwi05K7cwYvwAhXqmeAKHYvzCY8QFjAAegQIAxAC&usg=AOvVaw2ZBcjk7QUverPZMpsd_XCC
9. Yu Jf, Nicholson AD, Nelson J, Alexander MD, Tse SH, Hetts S. Predictores de volumen y distribución de hemorragia intracranial en malformaciones arteriovenosas cerebrales. Interv Neuroradiol. 2018 [citado 2023 Ene 2]; 24(2): 183-188. Disponible en: https://scholar.google.com/scholar?q=%22Predictors+of+intracranial+hemorrhage+volume+and+distribution+in+brain+arteriovenous+malformation%22&hl=en&lr=&btnG=Search
10. Solomon RA, Sander E. Malformaciones arteriovenosas cerebrales. Intra Med. 2017 [citado 2023 Ene 3]; 376: 1859-1866. Disponible en: https://www.intramed.net/contenidover.asp?contenidoid=90903
11. González Matos SJC, Dos Santos Poleo SY, Pérez Sánchez DLI, Álvarez De Eulate Garcia SMT, Montesinos SO, Barjau SJJ, Luna Juan Manuel SJM, Rodríguez Flores SPDV. Manejo diagnóstico no intervencionista de las malformaciones vasculares cerebrales. seram. 2022 [citado 4 de enero de 2023];1(1). Disponible en: https://piper.espacio-seram.com/index.php/seram/article/view/9409
12. Kocur D, Przybytko N, Hofman M, Jamróz T, Ignatowicz A, Baron J, et al. Tratamiento endovascular de pequeñas malformaciones arteriovenosas cerebrales como terapia primaria. Pol J Radiol. 2018 [citado 2023 Ene 3]; 83(1): 143-150. Disponible en: https://scholar.google.com/scholar?q=%22Endovascular+treatment+of+small+cerebral+arteriovenous+malformations+as+a+primary+therapy%22&hl=en&lr=&btnG=Search
13. Shaligram SS, Winkler E, Cooke D, Su H. Factores de riesgo de hemorragia de malformación arteriovenosa cerebral.CNS Neuroci Ther. 2019 [citado 2023 Ene 3]; 25(10): 1085-1095. Disponible en: https://scholar.google.com/scholar?q=%22Risk+factors+for+hemorrhage+of+brain+arteriovenous+malformation%22&hl=en&lr=&btnG=Search
DECLARACIÓN DE AUTORÍA
YLIC: Conceptualización, diseño metodológico, investigación, análisis e interpretación de resultados, redacción del manuscrito, revisión crítica.
LPA: Curación de datos, diseño metodológico, investigación, redacción del manuscrito, revisión crítica
RDR: Investigación, análisis e interpretación de resultados, revisión crítica.
CONFLICTOS DE INTERESES
Los autores no declaran conflictos de intereses para la realización del presente artículo.
FUENTES DE FINANCIACIÓN
No se recibió financiación para la realización de la presente investigación.
![]() |
Este es un artículo de acceso abierto distribuido bajo los términos de la Licencia Creative Commons CC BY-NC-SA 4.0.
Publicación de la Universidad de Ciencias Médicas de Sancti Spíritus. https://revspimed.sld.cu