ISSN 2788-5216 RNPS 2468
SPIMED 2026;7:e268
PRESENTACIÓN DE CASO
Diagnóstico tardío de Hipoplasia Pulmonar en un niño de tres años
Late diagnosis of Pulmonary Hypoplasia in a three-year-old child. Presentation of a case
Diagnóstico tardio de hipoplasia pulmonar em uma criança de três anos de idade
Maricela Reyes Soriano1* https://orcid.org/0009-0001-7474-370X
Misleidy Camejo Aleman1 https://orcid.org/0009-0002-4414-6549
Daniel Jesús Balbín Reyes1 https://orcid.org/0009-0002-2246-3025
Yordán Leyva Guerra1 https://orcid.org/0000-0001-8552-5073
1Universidad de Ciencias Médicas. Facultad de Ciencias Médicas “Dr. José Assef Yara”. Ciego de Ávila, Cuba.
*Autor para la correspondencia: mneumologia01@gmail.com
RESUMEN
Introducción: la hipoplasia pulmonar es la falta de desarrollo fetal normal del parénquima pulmonar. La enfermedad se caracteriza por una disminución del número de alvéolos y de generaciones bronquiales. Su incidencia en la población general es de 9 a 11 casos por cada 10.000 nacimientos vivos, aunque está subestimada debido a casos no diagnosticados con grados menores de HP que sobreviven al periodo neonatal. En series de autopsias perinatales la prevalencia varía entre 7.8 y 26 %, siendo la anomalía más frecuentemente asociada a mortalidad perinatal.
Presentación del caso: paciente masculino de tres años de edad, preescolar, de raza negra, con antecedentes de salud, es llevado al cuerpo de guardia por su mamá al Hospital Central "Agustino Neto", remitido del área de salud por presentar un cuadro clínico de disnea frecuente con tos seca persistente que ha llevado varios tratamientos de antibióticos vía oral en el área de salud y se realizó una tomografía de tórax evidenciándose hipoplasia pulmonar. Dicha enfermedad el resultado de la interrupción del desarrollo pulmonar normal debido a distintos factores aún no totalmente conocidos. Presenta una elevada mortalidad neonatal y una importante morbilidad a largo plazo, por lo que requiere de un diagnóstico temprano y la intervención de un equipo multidisciplinar especializado.
Conclusiones: la hipoplasia pulmonar tiene una incidencia mayor de la esperada y debe ser sospechada en pacientes que presentan enfermedad pulmonar con una clínica poco clara o equivoca. Tampoco debe olvidarse esta etiología ante una imagen radiológica sorprendente al inicio o en la evolución de un cuadro clínico determinado.
Palabras clave: pulmón anomalías; pulmón embriología; pulmón diagnóstico por imagen; preescolar; enfermedad
ABSTRACT
Introduction: pulmonary hypoplasia is the lack of normal fetal development of the lung parenchyma. The disease is characterized by a decrease in the number of alveoli and bronchial generations. Its incidence in the general population is 9 to 11 cases per 10,000 live births, although it is underestimated due to undiagnosed cases with lower degrees of PH that survive the neonatal period. In series of perinatal autopsies, the prevalence varies between 7.8 and 26 %, with the anomaly being most frequently associated with perinatal mortality.
Case presentation: a 3-year-old pre-school male patient, black with a health history, is taken by his mother to the "Agustino Neto" Central Hospital, referred from the health area for presenting a clinical picture of frequent dyspnea with persistent dry cough who had undergone several treatments of oral antibiotics. In the health area, a chest tomography was performed, showing pulmonary hypoplasia. Lung hypoplasia is the result of the interruption of normal lung development due to different factors that are not yet fully known. It presents a high neonatal mortality and significant long-term morbidity, which requires early diagnosis and the intervention of a specialized multidisciplinary team.
Conclusion: pulmonary hypoplasia has a higher incidence than expected and should be suspected in patients who present pulmonary disease with unclear or misleading symptoms.Nor should this etiology be forgotten when faced with a surprising radiological image at the beginning or during the evolution of a specific clinical condition.
Keywords: lung anomalies; lung embryology; lung diagnostic imaging; preschool; disease
RESUMO
Introdução: A hipoplasia pulmonar é a ausência de desenvolvimento fetal normal do parênquima pulmonar. A doença é caracterizada pela diminuição do número de alvéolos e camadas brônquicas. Sua incidência na população geral é de 9 a 11 casos por 10.000 nascidos vivos, embora esse número seja subestimado devido a casos não diagnosticados com hipoplasia pulmonar menos grave que sobrevivem ao período neonatal. Em séries de autópsias perinatais, a prevalência varia entre 7,8% e 26%, tornando-a a anomalia mais frequentemente associada à mortalidade perinatal.
Apresentação do caso: Um menino de três anos de idade, pré-escolar, de ascendência africana, com histórico médico saudável, foi levado ao pronto-socorro do Hospital Central "Agustino Neto" por sua mãe. Ele havia sido encaminhado do centro de saúde local devido à dispneia frequente com tosse seca persistente. Ele havia recebido vários ciclos de antibióticos orais no centro de saúde, e uma tomografia computadorizada de tórax revelou hipoplasia pulmonar. Essa doença resulta da interrupção do desenvolvimento pulmonar normal devido a vários fatores que ainda não são totalmente compreendidos. A hipoplasia pulmonar apresenta alta mortalidade neonatal e morbidade significativa a longo prazo, exigindo, portanto, diagnóstico e intervenção precoces por uma equipe multidisciplinar especializada.
Conclusões: A hipoplasia pulmonar tem uma incidência maior do que a esperada e deve ser suspeitada em pacientes com doença pulmonar cuja apresentação clínica seja incerta ou ambígua. Essa etiologia também deve ser considerada na presença de um achado radiológico inesperado no início ou durante o curso de uma apresentação clínica específica.
Palavras-chave: anomalias pulmonares; embriologia pulmonar; imagem pulmonar; pré-escolar; doença
Recibido: 15/08/2024
Aceptado: 15/04/2025
Publicado: 24/02/2026
INTRODUCCIÓN
La hipoplasia pulmonar es una anomalía congénita poco frecuente. Consiste en una disminución de la cantidad o el tamaño de las vías aéreas, de los vasos sanguíneos y los alvéolos con una morfología macroscópica pulmonar aparentemente normal (1,2)
Habitualmente se diagnostica en la infancia, siendo su presencia en el adulto excepcional debido a que los enfermos fallecen antes de llegar a la vida adulta como consecuencia de infecciones pulmonares y otras anomalías asociadas. (2)
La hipoplasia pulmonar es la falta de desarrollo fetal normal del parénquima pulmonar. La enfermedad se caracteriza por una disminución del número de alvéolos y de generaciones bronquiales. El oligohidramnios es una causa notable, pero las condiciones que restringen el desarrollo de los pulmones o conducen a la compresión de los pulmones del feto también pueden dar lugar a una hipoplasia pulmonar. Su incidencia en la población general es de 9 a 11 casos por cada 10.000 nacimientos vivos, aunque está subestimada debido a casos no diagnosticados con grados menores de HP que sobreviven al periodo neonatal. En series de autopsias perinatales la prevalencia de hasta un 26 %, siendo la anomalía más frecuentemente asociada a mortalidad perinatal (2,3).
En la literatura médica existen múltiples casos de hipoplasia pulmonar en neonatos. Sin embargo, los casos no dejan de ser en desafío en el personal de salud y poco evidenciándose en pacientes a estas edades. Por lo que el artículo presenta un caso clínico de hipoplasia pulmonar en paciente de tres años, se ha considerado de interés la presentación del mismo que ha sido diagnosticados con hipoplasia pulmonar en el servicio de neumología.
PRESENTACIÓN DE CASO
Paciente masculino de tres años de edad, preescolar de raza negra con antecedentes de salud es llevado al cuerpo de guardia por su mamá al Hospital Central "Agustino Neto", remitido del área de salud por presentar un cuadro clínico de disnea frecuente con tos seca persistente que ha llevado varios tratamientos de antibióticos via oral en el área de salud, con radiografía de tórax vista postero anterior interpretada como neumonía Hemitórax izquierdo. En el interrogatorio presentaba síntomas catarrales como tos seca persistente, disnea escasa. En el examen físico, disminución del murmullo vesicular en hemitórax izquierdo sin otras alteraciones.
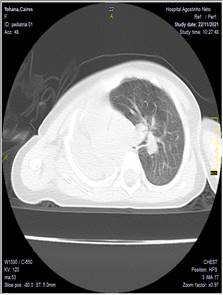
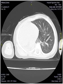
Se realizó una tomografía axial computarizada de tórax evidenciándose hipoplasia pulmonar fig. 1
INFORME DE TOMOGRAFIA AXIAL COMPUTARIZADA
REPÚBLICA DE ANGOLA MINISTÉRIO DA SAÚDE
HOSPITAL CENTRAL DR. ANTÓNIO AGOSTINHO NETO
Se realiza espiral tomográfico axial simple a 5 mm de tórax con reconstrucciones axiales milimétricas, sagitales y coronales en equipo multicorte observándose asimetría de ambos hemitórax, siendo mayor el derecho de aspecto compensador con desplazamiento de las estructuras del mediastino a la izquierda. Pulmón izquierdo pequeño. Presencia de disminución del calibre de los vasos pulmonares, así como el aparato bronquial.
Conclusión. Hipoplasia pulmonar izquierda
Lumbago a los 23/11/2021
Dra: Misleidy Camejo Alemán




Fig. 1. Tomografía axial de tórax. A. corte axial. B. corte coronal. C. corte sagital
Tomografía de tórax: Opacidad homogénea en hemitórax izquierdo con desplazamiento de las estructuras del mediastino, reducción del volumen pulmonar derecho.
La hipoplasia pulmonar es el resultado de la interrupción del desarrollo pulmonar normal debido a distintos factores aún no totalmente conocidos. Presenta una elevada mortalidad neonatal y una importante morbilidad a largo plazo, por lo que requiere de un diagnóstico temprano y la intervención de un equipo multidisciplinario especializado.
DISCUSIÓN
Las malformaciones pulmonares congénitas son causa de mortalidad en las primeras etapas de la vida y tienen una incidencia del 2.2 %, aunque son menos frecuentes que las enfermedades pulmonares adquiridas. Existe un grupo de estas que se denomina malformaciones broncopulmonares del intestino anterior, que comprenden los quistes broncogénicos pulmonares, enfisema lobar congénito, secuestros pulmonares intralobares y extralobares, quistes de duplicación y la malformación adenoidea quística pulmonar. También está descrita la hipoplasia pulmonar, como una rara anomalía congénita del desarrollo pulmonar. (4,5)
La hipoplasia pulmonar es una anomalía congénita caracterizada por una detención deficiente o incompleta del desarrollo del pulmón. Puede ser primaria o secundaria.(4)
La hipoplasia primaria puede ser causada por un defecto intrínseco del desarrollo pulmonar; también es posible que se deba a anomalías del control nervioso central de los músculos respiratorios.
En la hipoplasia secundaria se han visto varios mecanismos implicados, como la disminución del volumen del hemitórax homolateral (hernia diafragmática, polihidramnios, neuroblastoma torácico, pulmón secuestrado), enfermedades neuromusculares o neurológicas que pueden ocasionar la hipoplasia.
El caso exhibe una hipoplasia pulmonar que se diagnostica en etapas preescolar a los tres años. En la literatura existen múltiples casos de hipoplasia pulmonar en neonatos y etapas fetales de la vida, en la etapa adulta es poco frecuentes donde se han publicado pocos casos (5,6) no evidenciándose en la literatura paciente a estas edades (2,7).
El estudio el hemitórax izquierdo es donde se presenta la hipoplasia pulmonar que se corresponde con la literatura revisada donde estaba afectado el pulmón izquierdo, aunque no se conoce una razón que explique esta predilección. (5) el síntoma clínico del paciente se corresponde con la literatura revisada siendo la disnea y, uno de los síntomas más frecuentes cuando se diagnostica. (2,5.7)
La hipoplasia pulmonar se asocia a otras malformaciones congénitas no siendo así en el paciente. Esta entidad nosológica se relaciona con (HP) fue la hernia diafragmática. (8)
Esta entidad es el modelo que más se ha utilizado para el estudio de intervenciones precoces, de la fisiopatología, avances en cuidados perinatales y desarrollo de nuevas técnicas diagnósticas de hipoplasia pulmonar. También están asociadas a esta entidad una gran variedad de malformaciones musculoesqueléticas de la caja torácica, alteraciones del desarrollo del diafragma, riñón o tracto urinario (oligohidramnios) y disminución del líquido intrapulmonar. (9,10)
Los movimientos respiratorios fetales y la presión intramniótica sin oligohidramnios desempeñan un papel fundamental en el desarrollo del pulmón fetal de tal forma que alteraciones en estos factores pueden producir hipoplasia pulmonar.
Los enfermos con hipoplasia pulmonar presentan una sintomatología muy diversa, desde infecciones respiratorias recurrentes a cuadros más o menos graves de dificultad respiratoria. Que se corresponde con nuestro paciente.(11,12)
El diagnóstico por imagen cobra gran importancia en la detección de enfermedades congénitas, se debe efectuar una tomografía computarizada (TC) torácica, con reconstrucción tridimensional de la vía respiratoria y el árbol vascular si se dispone de la técnica (TC multidetector), gammagrafía de ventilación-perfusión o fibrobroncoscopia, que pueden ser muy útiles en el diagnóstico, el seguimiento y el tratamiento de estos pacientes.(13)
En nuestro paciente se corresponde con la literatura el diagnóstico de esta enfermedad. El diagnóstico prenatal también se puede establecer mediante ecografía Doppler. El tratamiento global de la hipoplasia pulmonar es de soporte en la mayoría de los casos, con fisioterapia respiratoria y tratamiento intensivo de las infecciones broncopulmonares. En caso de afectación aislada de un lóbulo, la resección podría estar indicada si hubiera sintomatología infecciosa o hemodinámica importante.(14,15)
Si se demuestra broncoespasmo, el uso de broncodilatadores o antinflamatorios puede resultar beneficioso. Se ha descrito obstrucción traqueal en casos con hipoplasia o aplasia pulmonar derecha con clara desviación traqueal debida a la impronta del arco aórtico en la tráquea. Estos pacientes pueden beneficiarse de una aortopexia (14,15)
Finalmente, la existencia de series relativamente amplias como la actual, pone de manifiesto que la hipoplasia pulmonar puede ser más frecuente de lo que se ha comunicado hasta ahora. La TC torácica rutinaria cuando la radiografía lo sugiera debería facilitar el diagnóstico y permitir la prevención y tratamiento precoz de las infecciones respiratorias y las anomalías congénitas asociadas, mejorando el pronóstico de los enfermos.
CONCLUSIONES
La hipoplasia pulmonar tiene una incidencia mayor de la esperada y debe ser sospechada en pacientes que presentan enfermedad pulmonar con una clínica poco clara o equívoca. El cuadro clínico más frecuente es disnea y tos. Los estudios imagenológicos permiten realizar el diagnóstico definitivo de hipoplasia del pulmón. La TC torácica rutinaria cuando la radiografía lo sugiera debería facilitar el diagnóstico y permitir la prevención y tratamiento precoz de las infecciones respiratorias y las anomalías congénitas asociadas, mejorando el pronóstico de los enfermos. El paciente que se presentó fue dado de alta sintomático con tratamiento médico y rehabilitación respiratoria y seguimiento por consulta de Neumología.
REFERENCIAS
1. Alfonso J. C. M., Martínez, A. P., Caballero A. Y. M., Pascual C. B. Síndrome de distrés respiratorio por hipoplasia pulmonar y linfedema congénito neonatal. Anales de Pediatría: [Internet]. 2024, [citado 8 de junio 2024];98(4): [aprox. 2 p.] Disponible en: https://doi.org/10.1016/j.anpedi.2022.06.008
2. Cancemi G, Distefano G, Vitaliti G, Milazzo D, Terzo G, Belfiore G, Di Benedetto V, Scuderi MG, Coronella M, Musumeci AG, et al. Congenital Lung Malformations: A Pictorial Review of Imaging Findings and a Practical Guide for Diagnosis. Children. 2024; 11(6):638.Disponible en: https://doi.org/10.3390/children11060638
3. Fácila Rubio L., Carrión Valero F., González Martínez M., Marín Pardo J.. Hipoplasia pulmonar en el adulto: descripción, patogenia y revisión. An. Med. Interna (Madrid) [Internet]. 2002 Jul [citado 2026 Feb 23] ; 19( 7 ): 39-42. Disponible en: http://scielo.isciii.es/scielo.php?script=sci_arttext&pid=S0212-71992002000700006&lng=es
4. Barrantes, R. B, Cubero, C. O. Diagnóstico diferencial de hemitórax opaco en radiografía simple: Reporte de un Caso Clínico. Revista Ciencia y Salud Integrando Conocimientos, [Internet]. 2020 [citado 23 junio 2023]. 4(3): [aprox. 1 p.]. Disponible en: https://revistacienciaysalud.ac.cr/ojs/index.php/cienciaysalud/article/view/150/223
5. Chin T. Pediatric pulmonary hypoplasia. Medscape. [Internet]. 2022 [citado 27 January 2025]. 4(3): [aprox. 1 p.]. Disponible en: https://emedicine.medscape.com/article/1005696-overview#a5
6. Reina Jiménez, Torres Lantigua, Avalos Muñiz SALC. Quiste broncógeno. Presentación de caso. UNIMED [Internet]. 10 de noviembre de 2023 [citado 23 de febrero de 2026];5(3):e283. Disponible en: https://revunimed.sld.cu/index.php/revestud/article/view/283
7. Acosta López Jania, Arrué Guerrero Aliet, Torres Cuevas Boris Luis, Hierro García Daniel, Tamayo Madelaine, Feliciano Álvarez Vladimir. Hemitórax opaco. Rev Cub Med Mil [Internet]. 2014 Mar [citado 2026 Feb 23] ; 43( 1 ): 122-128. Disponible en: http://scielo.sld.cu/scielo.php?script=sci_arttext&pid=S0138-65572014000100014&lng=es
8. Puentes L. M. R., Ramos D R., Pérez R. H. Informe de caso de eventración diafragmática congénita de presentación clínica atípica. Revista Cubana de Tecnología de la Salud. [Internet]. 2023 [citado 5 agosto 2024]: 14(1): [aprox. 7 p.]. Disponible en: https://revtecnologia.sld.cu/index.php/tec/article/view/3949
9. Santos Herrera, Y., Vega Mendez, J. C., & Arredondo Bruce, A. E. (2017). Adulto con hipoplasia pulmonar. Revista Electrónica Dr. Zoilo E. Marinello Vidaurreta, 42(4). Recuperado a partir de https://revzoilomarinello.sld.cu/index.php/zmv/article/view/1063
10. Aldunate R. Margarita. Malformaciones pulmonares congénitas. Rev. chil. pediatr. [Internet]. 2001 Ene [citado 2026 Feb 23] ; 72( 1 ): 52-57. Disponible en: http://www.scielo.cl/scielo.php?script=sci_arttext&pid=S0370-41062001000100010&lng=eS http://dx.doi.org/10.4067/S0370-41062001000100010
11. González-Díaz Donel, Cantillano-Vaquedano Liliam, Villega Mahily Paz-Díaz de. Secuestro pulmonar intralobar: hallazgo clínico-radiológico. Presentación de un caso. Rev. inf. cient. [Internet]. 2020 Dic [citado 2026 Feb 23] ; 99( 6 ): 577-584. Disponible en: http://scielo.sld.cu/scielo.php?script=sci_arttext&pid=S1028-99332020000600577&lng=es
12. Valmaggia Cristina, Guadalupe Alejandra, Machado Karina. Malformación congénita de la vía aérea pulmonar: a propósito de un caso clínico. Arch. Pediatr. Urug. [Internet]. 2022 Dic [citado 2026 Feb 23] ; 93( 2 ): e309. Disponible en: http://www.scielo.edu.uy/scielo.php?script=sci_arttext&pid=S1688-12492022000201309&lng=es
13. Domen Plut, Matthew Bauer , Aleksandra Mikić , Abadía J. Winant ,Parque Halley, Edward Y. Lee. Pediatric Congenital Lung Malformations: Contemporary Perspectives on Imaging Characteristics. Seminars in Roentgenology. [Internet]. 2024 July [citado 2026 Feb 23]; 59 (3):e249-266. Disponible en: https://www-sciencedirect-com.translate.goog/science/article/pii/S0037198X24000282?_x_tr_sl=en&_x_tr_tl=es&_x_tr_hl=es&_x_tr_pto=tc
14. Martín B. C., Pulido M. A., Pulido R. A., Chamorro I. P. Pensado A P, González, L. B. Empleo de ventilación de alta frecuencia oscilatoria intraoperatoria en neonatos con hipoplasia pulmonar. Revista Española de Anestesiología y Reanimación [Internet] 2022: [citado 5 agosto 2024]: 69(9): [aprox. 4 p.]. Disponible en: https://www.sciencedirect.com/science/article/pii/S0034935621002097
15. Gradis Santos O D, Degrandes Rodríguez B J, Aguilera Tercero, L. G., & Gutiérrez Villanueva S. J. Agenesia pulmonar como hallazgo infrecuente en adultos. Revista Científica Ciencia Médica, [Internet] 2021. [Citado 1 agosto 2024]:24(1) [aprox. 4 p.]. Disponible en: http://www.scielo.org.bo/scielo.php?pid=S1817-74332021000100078&script=sci_arttext
DECLARACIÓN DE AUTORÍA
MRS: Conceptualización, curación de datos, análisis formal, adquisición de fondos, administración, de proyectos, investigación, metodología, recursos, software, supervisión, validación, visualización, redacción del borrador original y por último la redacción (revisión y edición).
MCA: descripción de las imagines de la tomografia axial computerized
DJBR: Revisión bibliográfica, aplicación de los instrumentos de recogida de información, procesamiento y redacción Del artículo. (Curación de datos. Análisis formal. Metodología). Curación de datos Actividades de gestión para anotar (producir metadatos), depurar datos y mantener los datos de la investigación (incluido el código de software, cuando sea necesario para interpretar los propios datos) para su uso inicial y su posterior reutilización.
YLG: Metodología – Desarrollo o diseño de la metodología; creación de modelos.
CONFLICTOS DE INTERESES
Los autores no declaran conflictos de intereses para la realización del presente artículo.
FUENTES DE FINANCIACIÓN
No se recibió financiación para la realización de la presente investigación.
![]() |
Este es un artículo de acceso abierto distribuido bajo los términos de la Licencia Creative Commons CC BY-NC-SA 4.0.
Publicación de la Universidad de Ciencias Médicas de Sancti Spíritus. https://revspimed.sld.cu